
Adolescencija je izuzetno rizični period u kome „iznenada“ može da dođe do naglog oboljevanja, do tada inače zdravih zuba, ili značajnog pogoršavanja umerenog i kontrolisanog (pre svega sa plombama) zubnog kvara.
Nažalost, stanje oralnog zdravlja kod naših tinejdžera je značajno lošije u odnosu na vršnjake u evropskim zemljama, gde u 12-oj godini preko 54% dece ima sve zdrave zube, bez i jedne jedine plombe(u Srbiji je to 17,3%; Republici Srpskoj ispod 5%). U 15-oj godini stanje je još nepovoljnije: 43% u EU u odnosu na 11% u Srbiji i 2% u Republici Srpskoj. U starijim uzrastima stanje se još više pogoršava i broj dece bez karijesa se približava statističkoj grešci. Zdravlje desni je takođe veoma loše jer je zanemarljiv broj tinejdžera bez početnih zapaljenja desni.
Pubertet je veoma osetljiv period razvoja, sa burnim promenama u psihičkom i fizičkom stanju deteta, što se odražava i na usnu duplja sa zubima. U ovom periodu, posle 12. godine, se završava smena mlečnih zuba, mladi stalni zubi još nisu potupuno sazreli, a i desni se nalaze u fazi formiranja oko zuba. Hormonalne promene povećavaju osetljivost desni na zubne naslage i dovode do promena u sastavu pljuvačke.(videti detaljnije u ranijim objavama navedenim na kraju teksta)
Specifičnosti adolescencije su nekontrolisano ponašanje, koje može da se kreće od potpunog zapostavljanja lične higijene do preterivanja u njoj. Takođe se gubi kontrola nad ishranom, postoji sklonost pojačanog unosa gaziranih napitaka, slatikša, grickalica i druge kariogene hrane. Često je upražnjavanje loših navika, poput konzumiranja alkohola, aktivnog i pasivnog pušenja(u društvu vršnjaka) i nažalost psihoaktivnih supstanci. Sve to može da ima veoma nepovoljne posledice po zdravlje zuba i desni.
Svemu tome treba dodati i uglavnom loše stanje mlečnih zuba iz perioda mešovite denticije i nepostojanje navika o pravilnoj i redovnoj nezi zuba. Iako prema anketama Instituta za javno zdravlje veći broj tinejdžeri izjavljuju da redovnije peru zube u odnosu na odrasle, pitanje je kvaliteta toga pranja, jer stanje zdravlja zuba i desni to ne potvrđuje. Detaljnije
I preterano, i posebno nepravilno pranje zuba, pogotovu ako je kombinovano sa čestim konzumiranjem sokova ili gaziranih i energetskih napitaka može da dovede do stvaranja klinastih defekata u predelu vrata zuba. Detaljnije
Tinejdžeri kod nas su, na žalost, veoma česti konzumenti nezdrave i veoma kariogene hrane. Tu prednjače gazirani i energetski napitci, grickalice i slatkiši. Peciva, posebno slatka, i ostala brza hrana su najpopularnije užine i večernji obroci. S druge strane, zaštitna hrana nije baš omiljena.
Za period adolescencije su specifični, ne tako retki (po nekim statistikama i do 6% mladih ima neki od oblika) poremećaji u ishrani kao posledica nametnutih modnih trendova u vezi izgleda, poznatih pod nazivom anoreksija(izgladnjivanje) i bulemija(prežderavanje). Detaljnije U ekstremnim oblicima mogu da se završe sa smrtnim ishodom, ako se na vreme ne preduzme lečenje. Poremećaji ishrane dovode do nedostataka hranljivih materija, posebno pojedinih vitmina, ali i belančevina što obara imuni sistem. Detaljnije Zbog toga mogu da se javljaju pojačana osetljivost zuba i nagla pojava karijesa, pojačano krvavljenje desni čak i nagli razvoj džepova, suva usta, ispucale usne i žvale, bolne i otečene pljuvačne žlezde, zadah iz usta, bolovi u viličnim zglobovima. Zubi menjaju boju i mogu da se pojačano troše. Kiselina iz želudca, prilikom povraćanja kod bulemije može da rastvara zubnu gleđi, dovodi do stvaranja nespecifičnih nekarioznih defekata –erozija, posebno u vratu zuba(spomenute gore klinaste erozije). Stomatolog može da bude često i prvi koji otkriva ova teška psihološka oboljenja.
Tinejdžeri, skloni ekstremima i u želji za lepim i modernim izledom, mogu da samostalno ili kod nestručnih osoba(kod nas je dozvoljeno čak i kozmetičarima da se time bave), preduzimaju zahvate beljenja zuba, koji mogu da doved de do značajnih oštečenja i zuba i desni. Beljenje zuba se ne preporučuje u tome periodu, i zbog još ne formirane zubne gleđipotrebna je dodatna zaštita. Detaljnije
Veliki broj tinejdžera se podvrgava terapiji ispravljanja poremećenih odnosa zuba i vilica pomoću fiksnih ortodontskih aparata. Oni zahtevaju posebnu dodatnu negu i preventivu, jer u suprotnom mogu da se jave štetne reakcije na zubima i desnima. Detaljnije
Tinejdžeri ne priznaju autoritete i nametanje mišljenja, tako da klasične metode zdravstvenog vaspitanja u kome stomatolog „deli lekcije“ uglavnom nemaju efekta. Kritika i zastrašivanje može da deluje sasvim suprotno. Potrebni su drugačiji pristupi u kome se tinejdžer navodi da sam dolazi do rešenja. Nove digitalne tehnologije i gedžeti, koje su sastavni deo njihovog života, treba maksimalno koristiti u zdravestvenom vaspitanju i motivaciji. Potrebni su i mnogo češći kontrolni pregledi, koje opet treba planirat u odnosu na lični rizik.
Pozitivni momenti za bolju negu zuba mogu da budu zelja za dokazivanjem posebno pred suprotnim polom i okupiranost sopstvenim izgledom. To je potrebno maksimalno podsticati u motivaciji kako od strane roditelja tako i stomatologa.
Napominjeno još jednom, plombiranje zuba ne zaustavlja širenje karijesa po drugim zubima!!! Preventivni režim jedino može da spreči razvoj bolesti i bolne, ali i skupe stomatološke zahvate. Nelečene desni mogu da vode, kod manjeg broja jako rizičnih osoba, do progresivnog razaranja kosti i rasklaćivanja i gubitka zuba u kratkom periodu(do dvadesetih godina), zbog čega je veoma značajno rano otkrivanje i započinjanje lečenja. Kod ostalih posledice se manifestuju u srednjem dobu sa razvojem parodontalnih oboljenja(parodontopatije, parodontoza).
Zbog toga je jako važno formirati zdrave navike pre puberteta, jer je kasnije to mnogo teže, ali ne i nemoguće. Za svako dete princip održavanja zdravlja zuba i usta je uvek isti, uz poštovanje određenih specifičnosti koje odgovaraju uzrastu, a to je:
Znaci koji upućuju na POSTOJANJE RIZIKA ZA RAZVOJ OBOLJENJA ZUBA u pubertetu su:
1. Postojanje makar i jednog jedinog aktivniog karijesa(rupica na zubima)- nesumnivo je VISOKI RIZIK.
2. Postojanje belih mrlja kao znakova početnog karijesa.
3. Postojanje plombi od ranijeg karijesa i kada su one u redu.
4. Ranije prisustvo karijesa na mlečnim zubima, posebno ako je postojao rani karijes(do 3 godine).
5. Krvavljenje iz desni prilikom četkanja zuba, korišćenja konca ili blagog pritiska čačkalicom između zuba.
6. Često unošenje hrane(više od 5 puta dnevno) i to posebno kariogene između obroka
7. Često konzumiranje gaziranih napitaka, ali i voćnih sokova:
8. Neredovno pranje zuba sa zubnom pastom sa fluorom(manje od 2 puta dnevno i to površno). Krvavljenje iz desni je znak neredovnog ili nepravilnog pranja zuba.
9. Prisustvo zgusnutih zuba, ali i drugih nepravilnosti u rasporedu i položaju(ortodontske nepravilnosti).
10. Nošenje protezica za ispravljanje zuba, posebno fiksnih.
11. Hronična oboljenja poput šećerne bolesti, padavice, srčanih oboljenja, poremećaji iminiteta, psihička oboljenja i dr. pogotovu ako zahtevaju uzimanje lekova u dužem periodu.
12. Prisustvo vidljivog kamenca, zadaha iz usta i drugih znakova lošeg održavanja higijene i poremećene ravnoteže u ustima.
13. Smanjeno ili slabo lučenje pljuvačke- suva usta.
14. Ishrana pretežno bazirana na brzoj hrani, slatkišima i pecivu sa neredovnim unošenjem voća, povrća i mlečnih proizvoda.
15. Veliki broj obolelih(ili plombiranih zuba), kao i prisustvo aktivnog oboljenja desni(parodontopatija) kod roditelja.
16. Da li dete puši ili je izloženo pasivnom pušenju u porodici.
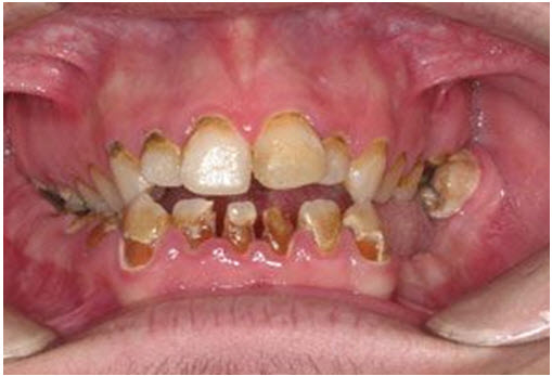
Nažalost i direktno aktivno pušenje je već u osnovnoj, a pogotovu u srednjoj školi veoma zastupljeno, a predstvalja veliki rizik za razvoj oboljenja zuba i pogotovu desni. Uzimanje droge je praćeno agresivnim oblicima karijesa i oboljenja desni(Slika 3.).
Prisustvo znakova rizika zahteva uključivanje deteta u individualni preventivni program kada se sprovode dodatni pregledi i propisuju dodatne preventivne mere i zakazuju češće kontrole(najduže na 3 meseca). Kod njih više obično pranje zuba sa zubnom pastom nije dovoljno, već zahteva i profesionalnu zaštitu.
Adolescencija je poslednji period akda je neophodno da se, ukoliko već nisu, ustale navike redovne i pravilne oralne higijena, sa pravim zubnim pastama. Posebno je značajno da se uspostavi i navika redovnog i pravlnog čišćenja međuzubnih prostora.
Zašto su zubi naše dece bolesni?
Kako održavati zube sa fiksnim ortodontskim aparatom