Nepravilnosti kod nicanja stalnih zuba

Nepravilno nicanje donjih stalnih sekutića je posledica velikih zuba i uskih vilica i znak su poremačaja u postavi zuba koji se naziva teskoba.(Slika 1B)

Slika 1. Napravilno nicanje donjih stalnih sekutića iza mlečnih predhodnika(A) često je znak da nema dovoljno mesta u vlilicama(veliki zubi, male vilice) i da može da nastane nepravilnost u postavci koja se naziva teskoba(B)

Čim se primeti da se stalni zubi pojavljuju iza mlečnih sekutiča, koji su minimalno rasklaćeni, potrebno je da se hitno javite dečjem stomatologu.(slika 1A) Neophodna je procena veličine stalnih zuba i postojećeg prostora i na osnovu toga odlučuje da li da se mlečni prvi sekutići odmah izvade, ali često i drugi, ili da se sačeka još malo. Značajno je i da li su mlečni zubi počeli da se klate ili ne. Sledi će najverovatnije i nošenje proteze za ispravljanje zuba(ortodontski aparat), koje imaju za cilj da prošire vilicu i obezbede prostor za smestaj zuba. Ako se na vreme reaguje i podstiče rast vilica moće da se izbegne(ali ne uvek) složenija terapija. Ako se zakasni(to znači više godina) i nista ne preduzme, dok se ne postave i bočni stalni zub, često je jedino rešenje vađenje zdravih stalnih zuba(najčešće prvi premolar ili popularno “stalna četvorka”) kako bi se obezbedio prostor za smeštaj svih zuba.

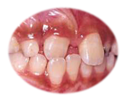
Nicanje gornjih stalnih zuba iza donjih se stručno naziva “ukršteni zagrižaj”(Slika 3.) i ako se na vreme otkrije(pre nego što gornji zubi u potpunosti izniknu i postave se iza donjih), sa jednostavnim vežbama može da se spreči kasnije nošenje apartata za ispravljanje zuba.

Slika 2. Ukršteno nicanje gornjih sekutića iza donjih

Slično se može očekivati ako se stalni gornji zubi pojavljuju iza mlečnih(Slika 3.). Ponekada se dešava da posle povreda ili infekcije, korenovi mlečnhi zubi srastaju sa kosti(stručno se zove ankiloza), ne dolazi do njihovog topljenja, pa su stalni sekutići primorani da izlaze sa unutrašnje strane. To ih isto može dovesti u gore spomenuti ukršteni zagrižaj.

Slika 3. Nepravilno nicanje gornjih sekutića iza mlečnih zuba koji nisu počeli da se tope.

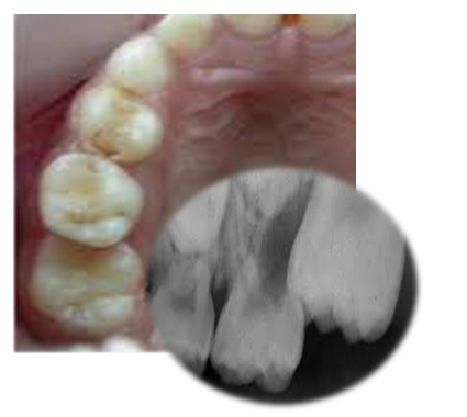
Poseban oblik nepravilnosti nicanja odnosi se na nepravilno kretanje prvog stalnog molara(“šestica”) previše napred, pri čemu vrši pritisak na mlečni molar(“petica”). (Slika 4). To može dovesti do topljenja mlečnog zuba, njegovog ranijeg gubitka, što opet uslovljava dalje pomeranje “šestice” i zatvaranje prostora u koji treba da iznikne drugi premolar(“stalna četvorka”). To zahteva složeno ortodontsko lečenje, a ponekad i vađenje zdravog stalnog zuba.

Slika 4. Topljenje(resorbcija) mlečnog zuba prilikom nicanja stalne “šestice”

Ova nepravilnost se često ne primećuje, jer nije jasno vidljiva za laika, a samo ponekad može da bude praćena tupim bolom. Zbog toga su veoma značajni redovni pregledi u periodu nicanja prvih stalnih zuba.

Pogledati još:

Ortodoncija danas