
Zubni kvar u najmlađim uzrastima se nekontrolisano razvija na našim prostorima. Najnovija ispitivanja ukazuju da već 30 % trogodišnjaka ima obolele zube.
Osnovni uzroci karijesa, pa i njegovog ranog oblika, su prisustvo kariogenih bakterija i često unošenje rastvorljivih ugljenih hidrata, tzv. slobodnih šećera.Detaljnije
I pored toga što većina naših beba poseduju u ustima kariogene bakterije prenesene od roditelja ili ukućana(slabo održavjau higijenu zuba, imaju puno obolelih zuba i slabo posećuju stomatologa da ukloni aktive lezije) i često unose ugljene hidrate(pa i noću), ne razvija se kod svih rani karijes(pre 3. godine). To znači da postoje i dodatni faktori koji čine zube slabije otpornim na dejstvo kiselina ili umanjuju odbrambene sposobnosti u usnoj duplji.
Genetika ne utiče značajno na veću osetljivost zuba prema razvoju karijesa!?
Detaljnije
Mnogo su važniji različiti uticaji koji deluju u periodu tazvoja zuba. Danas je moguće da se ti faktori otkriju i da se takvoj deci pruže dodatne(pojačane) preventivne mere i pre nego što se jave prvi znaci oboljenja. Neki od tih faktora deluju još u trudnoći, a drugi neposredno na porođaju ili u prvim mesecima bebinog života.
Postoje dokazi da sledća stanja mogu da utiču na izgradnju zubne gleđi slabije kvaliteta i manje otpornosti:

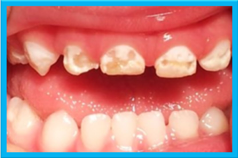
Na gleđi mogu da postoje vidljiva oštećenja (bele mrlje i defekti) (Slika 1.), ali često nema uočljivih kliničkih znakova. Detaljnije
Bebe kod kojih postoje podatci za neko od navedenih stanja imaju visoki stepen rizika za razvoj karijesa i zahtevaju dodatnu profesionalnu zaštitu zuba. Obično pranje zuba i dečije zubne paste nisu dovoljne!!!

Stanja u trudnoći koja mogu imati posledice na otpornost zuba kod deteteta
Šta čini zube osetljivijim na razvoj zubnog kvara
Koje su bebe rizične za razvoj ranog karijesa
Prevremeno rođene i bebe sa malom težinom imaju osetljivije zube